スタッフ
2025-10-30

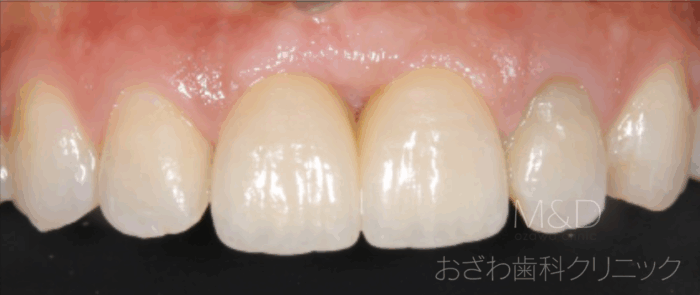
術前

術前

術後

術後
審美的で綺麗な歯をお作りできます。審美治療向けのインプラントのご紹介です。
前歯2本を失っていてしまいましたが、入れ歯ではなくご自身の歯のように美しい見た目の審美インプラント治療も行ております。
主訴:前歯の欠損
治療内容
インプラント2本即時負荷
(手術の日に仮歯が入ります)
(手術の日に仮歯が入ります)
概算費用
1本 ¥450,000(税別)仮歯、ジルコニアボンドなどの費用を含みます
検査費用、ラジオグラフィックガイド作製費、手術用テンプレート作製費;
約¥100,000(税別)
骨造成等が必要な場合は別途費用がかかります
検査費用、ラジオグラフィックガイド作製費、手術用テンプレート作製費;
約¥100,000(税別)
骨造成等が必要な場合は別途費用がかかります
メリット
審美的で機能的な回復が行えます
ブリッジのように自分の健全な歯を削らなくて済みます
取り外しの入れ歯のようなわずらわしさや見た目の悪さがありません
ブリッジのように自分の健全な歯を削らなくて済みます
取り外しの入れ歯のようなわずらわしさや見た目の悪さがありません
デメリット
手術を伴います
骨造成手術などを伴うことがあります
費用が高額になります
日頃の家庭内でのケアー、クリニックでの定期的なチェック、メンテナンスを怠ると歯が壊れたり、歯茎の炎症を起こすことがあります
骨造成手術などを伴うことがあります
費用が高額になります
日頃の家庭内でのケアー、クリニックでの定期的なチェック、メンテナンスを怠ると歯が壊れたり、歯茎の炎症を起こすことがあります




- 1981年 日本大学歯学部 卒業
- 1985年 日本大学大学院 歯学研究科 歯科臨床系 専攻
インプラントの基礎的研究にて歯学博士取得 - 1985年~ 埼玉医科大学 歯科・口腔外科 助手
- 1990年~ 埼玉医科大学 歯科・口腔外科 講師
- 1998年 おざわ歯科クリニック 開業
- ドイツ口腔インプラント学会スペシャリスト医
- ノーベルバイオケア社インストラクター
- ノーベルバイオケアUS インプラントエクセレントメンバー
- インディアナ大学歯学部インプラント科客員講師
お口の健康と機能、見た目の美しさを考慮し、江古田駅前をはじめ、地域の皆様の総合歯科・口腔外科医療サービスを提供してまいります。