スタッフ
2025-10-16

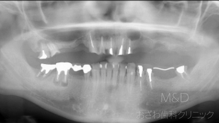
術前

術前

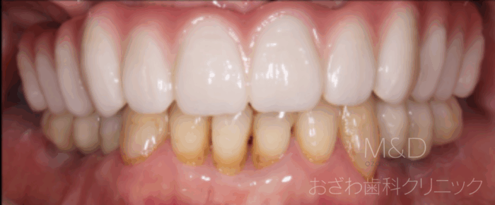
術後

術後
オールオン症例
主訴:上の入れ歯が落ちてくる、噛めない、差し歯が取れた、左上の前の歯茎が腫れる(歯根破折)右下奥歯の歯茎が腫れる、左下のブリッジが外れた
治療内容
上顎残存歯の抜歯、左上2番巨大な歯根嚢胞摘出+人工骨移植、GBR
右側サイナスリフト(上顎洞底挙上術:上顎洞が近心前方に発達しているため)+GBR(歯槽骨欠損のため)
上顎7本 (4本で即時負荷、その後段階的にインプラント追加)下顎5本インプラント
右側サイナスリフト(上顎洞底挙上術:上顎洞が近心前方に発達しているため)+GBR(歯槽骨欠損のため)
上顎7本 (4本で即時負荷、その後段階的にインプラント追加)下顎5本インプラント
概算費用
上顎 450万円(税別)、下顎 200万円 計 650万円(税別





- 1981年 日本大学歯学部 卒業
- 1985年 日本大学大学院 歯学研究科 歯科臨床系 専攻
インプラントの基礎的研究にて歯学博士取得 - 1985年~ 埼玉医科大学 歯科・口腔外科 助手
- 1990年~ 埼玉医科大学 歯科・口腔外科 講師
- 1998年 おざわ歯科クリニック 開業
- ドイツ口腔インプラント学会スペシャリスト医
- ノーベルバイオケア社インストラクター
- ノーベルバイオケアUS インプラントエクセレントメンバー
- インディアナ大学歯学部インプラント科客員講師
お口の健康と機能、見た目の美しさを考慮し、江古田駅前をはじめ、地域の皆様の総合歯科・口腔外科医療サービスを提供してまいります。