スタッフ
2025-10-16

術前

術前

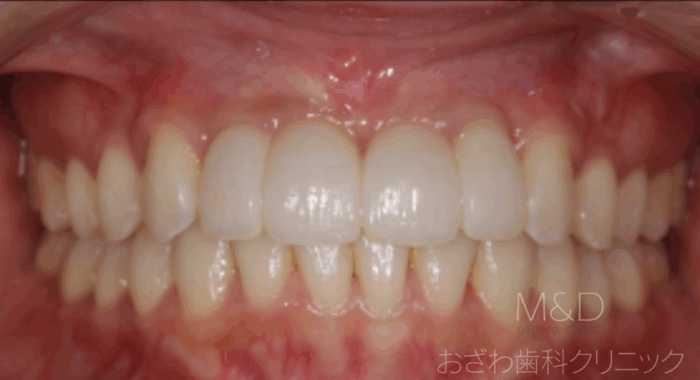
術後

術後
オールオン 症例
主訴:歯根破折(前歯の欠損)
治療内容
上顎前歯の抜歯、骨造成手術(GBR)
概算費用
骨造成費約20万円(税別)材料費含む、インプラント1本45万円
(仮歯代、ジルコニアボンド含む)
メリット
審美的で機能的な回復が行えます
ブリッジのように自分の健全な歯を削らなくて済みます
取り外しの入れ歯のようなわずらわしさや見た目の悪さがありません
ブリッジのように自分の健全な歯を削らなくて済みます
取り外しの入れ歯のようなわずらわしさや見た目の悪さがありません
デメリット
手術を伴います
骨造成手術などを伴うことがあります
費用が高額になります
日頃の家庭内でのケアー、クリニックでの定期的なチェック、メンテナンスを怠ると歯が壊れたり、歯茎の炎症を起こすことがあります。
骨造成手術などを伴うことがあります
費用が高額になります
日頃の家庭内でのケアー、クリニックでの定期的なチェック、メンテナンスを怠ると歯が壊れたり、歯茎の炎症を起こすことがあります。





- 1981年 日本大学歯学部 卒業
- 1985年 日本大学大学院 歯学研究科 歯科臨床系 専攻
インプラントの基礎的研究にて歯学博士取得 - 1985年~ 埼玉医科大学 歯科・口腔外科 助手
- 1990年~ 埼玉医科大学 歯科・口腔外科 講師
- 1998年 おざわ歯科クリニック 開業
- ドイツ口腔インプラント学会スペシャリスト医
- ノーベルバイオケア社インストラクター
- ノーベルバイオケアUS インプラントエクセレントメンバー
- インディアナ大学歯学部インプラント科客員講師
お口の健康と機能、見た目の美しさを考慮し、江古田駅前をはじめ、地域の皆様の総合歯科・口腔外科医療サービスを提供してまいります。