スタッフ
2025-9-12

術前

術前

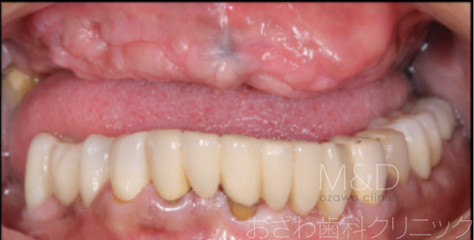
術後

術後

術後
インプラント症例
主訴:入れ歯が落ちる、ぐらぐらして痛く、噛めない
治療内容
上顎残存歯の抜歯、上顎5本(オールオン5)インプラント
(上顎即時負荷:オペの日に仮歯が入ります)
(上顎即時負荷:オペの日に仮歯が入ります)
概算費用
総額65万円税別






- 1981年 日本大学歯学部 卒業
- 1985年 日本大学大学院 歯学研究科 歯科臨床系 専攻
インプラントの基礎的研究にて歯学博士取得 - 1985年~ 埼玉医科大学 歯科・口腔外科 助手
- 1990年~ 埼玉医科大学 歯科・口腔外科 講師
- 1998年 おざわ歯科クリニック 開業
- ドイツ口腔インプラント学会スペシャリスト医
- ノーベルバイオケア社インストラクター
- ノーベルバイオケアUS インプラントエクセレントメンバー
- インディアナ大学歯学部インプラント科客員講師
お口の健康と機能、見た目の美しさを考慮し、江古田駅前をはじめ、地域の皆様の総合歯科・口腔外科医療サービスを提供してまいります。