スタッフ
2025-10-22
主訴:上の入れ歯が噛みにくい、入れ歯の中に物が入って痛い、

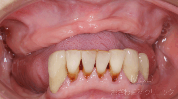
術前

術前

術後

術後
ザイゴマインプラント 症例
主訴:上の入れ歯が噛みにくい、入れ歯の中に物が入って痛い、
わずらわしい下顎は部分義歯で動くし痛くて、噛めない
治療内容
上顎の全ての歯が欠損(総義歯)
上顎前歯にはインプラントを埋める骨が全くありません
大学病院で断られた患者さん
通常のインプラントができない場合、頬骨のみを利用したインプラント治療になります
上顎は4本のザイゴマインプラント(頬骨インプラント4本)下顎はオールオン4による治療後
即時負荷(手術当日に仮の歯が入り噛むことができます)
上顎はザイゴマインプラント(頬骨インプラント)、下顎はオールオン4による治療後
即時負荷(手術当日に仮の歯が入ります)
上顎前歯にはインプラントを埋める骨が全くありません
大学病院で断られた患者さん
通常のインプラントができない場合、頬骨のみを利用したインプラント治療になります
上顎は4本のザイゴマインプラント(頬骨インプラント4本)下顎はオールオン4による治療後
即時負荷(手術当日に仮の歯が入り噛むことができます)
上顎はザイゴマインプラント(頬骨インプラント)、下顎はオールオン4による治療後
即時負荷(手術当日に仮の歯が入ります)
概算費用
上顎 ¥3,700,000(税抜き)
下顎 ¥2,800,000(税抜き)
下顎 ¥2,800,000(税抜き)




- 1981年 日本大学歯学部 卒業
- 1985年 日本大学大学院 歯学研究科 歯科臨床系 専攻
インプラントの基礎的研究にて歯学博士取得 - 1985年~ 埼玉医科大学 歯科・口腔外科 助手
- 1990年~ 埼玉医科大学 歯科・口腔外科 講師
- 1998年 おざわ歯科クリニック 開業
- ドイツ口腔インプラント学会スペシャリスト医
- ノーベルバイオケア社インストラクター
- ノーベルバイオケアUS インプラントエクセレントメンバー
- インディアナ大学歯学部インプラント科客員講師
お口の健康と機能、見た目の美しさを考慮し、江古田駅前をはじめ、地域の皆様の総合歯科・口腔外科医療サービスを提供してまいります。